350 North Cox Street, Suite 11, Asheboro, NC 27203

Smile Gallery

The image shows a close-up of a person s mouth with yellowed teeth and visible signs of decay or staining, particularly on the front teeth.

Before

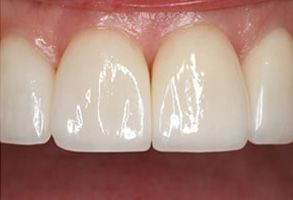
A close-up of a person s teeth with a bright smile, showcasing dental implants.

After

Dental implants with a focus on the upper front teeth, showcasing a transformation from yellowed to white and straight.

Before

An image of a close-up view of a person s mouth with a focus on their teeth and gums, showcasing a bright smile.

After

The image shows a close-up of a person s face with a focus on the teeth, which are crooked and have braces. The individual appears to be smiling or laughing, revealing their teeth.

Before

The image shows a close-up of a person s mouth with white teeth and a smile, set against a blurred background.

After

The image shows a close-up of a person s teeth and mouth, with the focus on a large gap between the upper front teeth.

Before

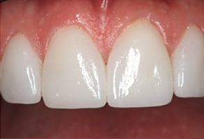
An image of a person s mouth showcasing a set of white teeth.

After

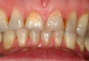
The image shows a close-up of a person s teeth with an upper and lower set, featuring yellow stains and some missing teeth.

Before

The image shows a close-up of a person s teeth, with the focus on a set of white dental implants that are well maintained and clean.

After

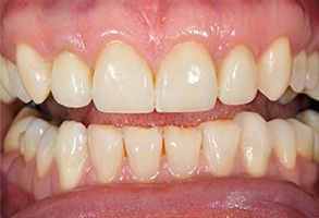
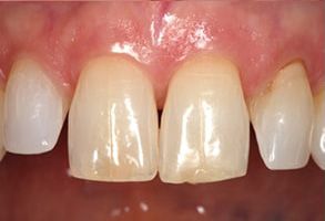
An image of a person s teeth with noticeable discoloration, particularly in the front upper teeth.

Before

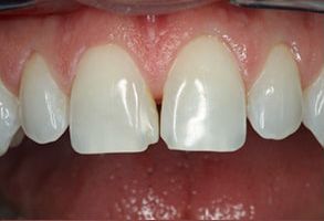
The image displays a close-up of a person s teeth, showing a set of white teeth with some staining or discoloration.

After

The image shows a close-up of a person s mouth with a large gap between the upper and lower teeth, revealing an exposed gumline.

Before

The image shows a close-up of a person s teeth, with the focus on the front teeth.

After

Questions?

Office Hours

Monday
9:00 am - 6:00 pm
Tuesday
9:00 am - 6:00 pm
Wednesday
Closed
Thursday
9:00 am - 6:00 pm
Friday
Closed
Saturday
By Appointment
Sunday
Closed